Sizce Bu Dişlerde Çürük Var mı?
Sizce Bu Dişlerde Çürük Var mı?
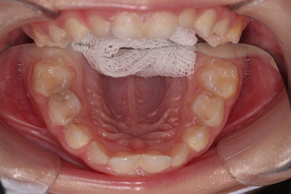
Çürük dediğimizde, aklımıza hemen belirgin siyah noktalar geliyor. Ancak durum bazen böyle olmayabiliyor. Özellikle süt dişi çürükleri, arayüzlerden başlayıp, çiğneme yüzeyine doğru ilerlediği için, anne-babanın fark ettiği siyah nokta aşamasında, çürük tedavisi için geç kalınmış olabiliyor. Özellikle 5 yaşından küçük çocuklarda, 1 tane arayüz çürüğünün varlığı, bize geri kalan dişlerinin arasında da arayüz çürüğünün varlığını düşündürebiliyor.

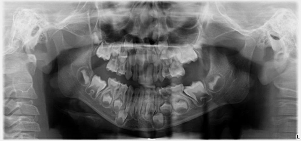
Bu sebeple bu hastamızdan da hasta velilerine “çene filmi” dediğimiz, panoramik çene grafisi istedik. Hasta velisi için görünüşte 1 tane zannedilen çürüğün aslında, 8 süt azı dişinin 8’inde de olduğunu görmüş olduk. Süt dişi çürükleri çok hızlı ilerlediği ve sinirleri daha yüzeye yakın olduğundan hemen ağrı yaptıkları için, bu çürüklere de tedavi planladık.

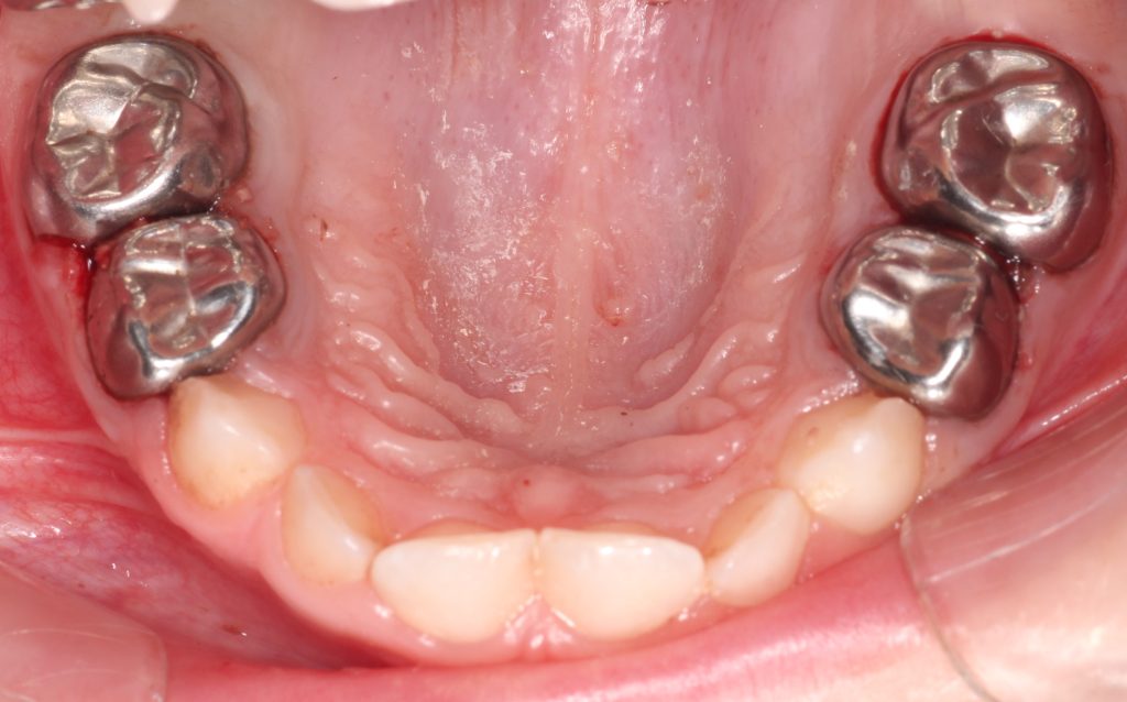
Özellikle genel anestezi altında diş tedavisi yapmayı planladığımız hastalarımızda tedavi planlarken, dişin düşmesine ne kadar süre kaldığı bizim için çok önemli bir faktör. Burada bu tatlı kız çocuğu 5 yaşında ve ikinci süt azısının düşmesine 7 yıl, birinci süt azısının düşmesine 4 yıl var. Bu süre içerisinde çocuğun dişinin, dolgu olmayan diş yüzeylerinden tekrar çürümesini istemeyiz. Çünkü böyle bir durumda, çocuğunuz tekrar koltukta işlem yaptırmayabilir, yine korkabilir ve yeniden genel anestezi altında diş tedavisine ihtiyaç duyulabilir. Böyle bir durumla karşılaşmamak için, bizim için pedodontide altın standart olan, kızlar için “simli diş” erkekler için “demir adam” dişi dediğimiz paslanmaz çelik kaplamalar imdadımıza yetişiyor. Böylelikle çocuğunuzun dişlerinin diğer yüzeylerden çürümesinin de önüne geçmiş oluyoruz. Bu vakada da böyle yaptık. Okuduğunuz için teşekkürler.
